牙齿矫正后为什么要戴保持器?
广州美莱口腔医生指出,矫正治疗之后的牙齿被移动了新的位置,牙周膜及其周围韧带的改建还没有完成,每颗牙都有一定的生理松动度以便能缓冲咀嚼压力,防止牙齿受创伤。
在做牙齿矫正治疗时,牙齿松动度增加,这是正常反应。牙齿矫正到正常位置后但还没完全稳定时,牙齿还会缓慢移动所以需要一定的工具辅助矫正后的固位。>>>成人牙齿矫正需要多久?

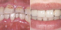
广州美莱牙齿矫正效果
因为在未完全稳定的情况下不带牙套矫正牙齿来起到辅助固位,牙齿极其可能又会变成原来交错不齐、歪歪倒倒的样子。
此外,牙齿矫治结束后口腔的肌肉的协调还没有完成,因此使整个口腔环境处于一种不稳定的状态。
所以需要借助矫治器(也就是牙套)来完成矫治的完全治疗过程。所以患者需要在牙齿矫治结束后戴保持器,这样才能保证治疗效果。>>>预约广州美莱口腔医生评估牙齿状况
美莱天使全隐形矫正 针对成人牙齿矫正难以开口之痛
广州美莱推出美莱天使全隐形矫正技术,抛弃传统正畸的"钢丝铁牙",不用钢丝、不用托槽、不影响美观、可自行摘带,在别人看不到您带了牙套矫正的同时,不知不觉中恢复正常颌面形态,该项集美观、舒适方便、清洁于一身,是无数成人正畸的选择。
广州美莱牙齿美容中心为您量身订制一系列隐形矫正器,每天佩戴20小时,两个月复诊 ,就可以让原来的"老虎牙"、"龅牙"等令人 尴尬的牙齿不良形态,在不被人发觉的情况下得到彻底的矫正和改变,成为您正牙美齿的秘密武器。 >>>美莱隐形矫正牙齿价格大概在多少左右?