烤瓷牙中的贵金属烤瓷牙是许多牙科医生至为推荐的。为什么要选择贵金属烤瓷牙?

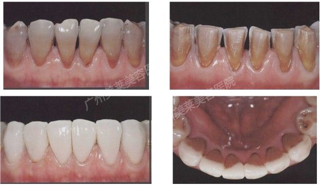
美莱烤瓷牙修复前后对比
1、贵金属烤瓷牙在烤瓷牙材料中色泽好。与牙本质色泽接近,使烤瓷牙看起来更为逼真美观。不会出现其他金属烤瓷牙夜晚灯光环境下烤瓷牙发青的问题(其他烤瓷牙因为金属内冠为黑色,烤瓷牙瓷层类似釉质有一定透明度,夜晚灯光照射,光线经内冠反折后使烤瓷牙看起来发青)。>>>普通金属烤瓷牙价格是多少?
2、贵金属烤瓷牙的密合性是好的。黄金的延展性很好,在所有烤瓷牙里黄金烤瓷牙(特别是金沉积烤瓷牙)是密合性好的。而密合性是烤瓷牙烤瓷牙品质优劣评判的标准。
3、贵金属烤瓷牙的生物相容性好。黄金是生物相容性好的金属,是早用于烤瓷牙的金属,不与人体组织起任何反应,不存在牙龈发炎、颈缘发黑、金属异味等问题。>>>烤瓷牙和贵金属烤瓷牙价格分别是多少?
4、黄金烤瓷牙是做烤瓷牙理想的金属。因为价格昂贵, 和加工厂都不愿意返工,所以无论医生还是技师都额外重视,工厂做黄金烤瓷牙的都是高水平技师,这就更保证了烤瓷牙的高品质。
广州美莱烤瓷牙7天治疗牙齿过程
爱美者如果想通过烤瓷牙或者全瓷牙来治疗牙齿,从预约广州美莱美牙咨询到美牙结束只需短短的7天时间,并7天时间中只需来院两次。
次,专业美牙医师根据爱美者情况形成美容冠设计方案,并制作出美容冠模型。>>>美莱烤瓷牙的价格是多少?
第二次,经专业加工厂根据爱美者美容冠模型,施以多重高科技设备处理后的美容冠,让顾客正式接受美容冠牙齿美容,方便快捷,大大提高了美牙的效率。